Explore curated research papers, case studies, and educational content on farriery, hoof care, and equine health.

A Structured Evidence Review for the Equine Farriery and Veterinary Professions M. Caldwell*. FWCF; PhD. *Scientific Horseshoeing, 116, Necastle Road, Talke, Staffordshire. ST7 1SA, UK *Corresponding author:mark@scientifichorseshoeing.co.uk Keywords: equine, ML balance, farriery, biomechanics, asses...

Hircock1, FdSc AWCF; J. Mather1, BSc (Hons) AWCF; M. Caldwell2*, PhD FWCF 1The School of Veterinary Nursing and Farriery, Myerscough College, Billsborrow, Preston, PR3 0RY, UK 2Scientific Horseshoeing, 116, Newcastle Road, Talke, Staffordshire. ST7 1SA *Corresponding author: info@hoofflix.com Keywor...

Twenty Years of Change in Farriery and Why It’s On You. A wake-up call to an industry that spent two decades watching the tide go out - and now wonders why it’s standing in the mud. - Stop Waiting for Someone Else to Fix This Let’s cut the pleasantries. If you’ve been in UK farriery for any length o...

Biomechanical Pathophysiology, Diagnostic Integration and the Central Role of Therapeutic Farriery in Rehabilitation Mark Caldwell. PhD., FWCF. HoofFlix at Scientific Horseshoeing. Abstract Suspensory ligament desmopathy (SLD) remains one of the most prevalent performance-limiting conditions in spor...

Introduction Hoof balance is a fundamental concern in farriery and equine podiatry. Imbalances in the hoof have long been linked to lameness and even severe injury in horses. Yet, despite general agreement that “balance” is critical, professionals often debate what precisely constitutes a balanced h...

From Theory to Practice: Applying Hoof Balance Science in Everyday Farriery by Uno Yxklinten’s PhD. Recent advances in hoof biomechanics have provided a clearer, physics-based definition of what a “balanced hoof” actually means. While some explanations have focused heavily on theory, the real value ...

Mitchel D., Balchin P., Fowler S., Caldwell M. Golden ratio in equine hoof geometry. HoofFlix.com Keywords: horse; hoof balance; golden ratio; Kepler triangle; dorsopalmar balance Summary Background: The golden ratio (phi, approximately 1.618) has been identified in numerous biological structures an...

In this post we discuss the approaches to hoof trimming comparing and contrasting the different approaches that are advocated. If you want to know more check out our myth busters tutorial with Jamie Jackson on HoofFlix Barefoot trimming has become an essential part of modern equine hoof care, with m...

Mark Caldwell PhD., FWCF In this post we explore Equine Hind Foot Form, Static Balance Proportions, and Limb Alignment: This is a brief overview. When it comes to equine hind foot form and alignment, particularly as it relates to static balance proportions and hind limb dynamics at speed, we are dea...

Understanding the Growth of Equine Hoof Epidermal Structures: A Guide for Horse Owners and Enthusiasts As a horse owner or enthusiast, you’ve likely heard plenty about the importance of healthy hooves. After all, a horse's hoof is often referred to as its "foundation"—and like any strong structure, ...

Proportional Radiographic Relationships Within the Equine Foot Andrew Prout AWCF. Feet First Farriery Limited. Welltown Cottage, Welltown, Cardinham, Bodmin, Cornwall. PL30 4EG Abstract This research investigates proportional radiographic relationships within the equine foot using blinded, randomly ...

Stig Haga., Mark Caldwell. Introduction High/low limb conformation — commonly referred to in farriery practice as “high/low hoof syndrome” — describes a consistent asymmetry between paired limbs, most often the forelimbs, where one foot presents with a steeper dorsal hoof wall angle and more upright...

The question “Is fit a standard on every horse?” deserves a clear answer: yes. Fit is a fundamental professional standard, not a variable that changes with circumstance. However, understanding why fit matters requires moving beyond outline aesthetics and into biomechanics and material science. Shoe ...

Caldwell M.N., Madden N,.and Pell C. A review of laminitis research. HoofFlix Scientific. Key words: Word count : 5660 Abstract Laminitis remains one of the most debilitating diseases in the equine population, causing profound pain, loss of function, and in many cases, euthanasia. For decades, it ha...

Hosted by HoofFlix TV • Sponsored by 3D Vet Anatomize & The 3rd Millennium Company Ltd: Featuring Professor Chris Pollitt Starting Thursday 29 January 2026 Laminitis is one of the most devastating diseases affecting domesticated horses—responsible for the second highestnumber of equine euthanasia ca...

Mark N Caldwell PhD; FWCF & Neil Madden FWCF. Info@hoofflx.com Key words: Equine foot, Hoof biomechanics, Shock absorption, Load bearing, Hemodynamic flow, Digital cushion, Frog function, Lateral cartilages, Hoof wall deformation, Viscoelastic properties of horn, Off-axis compression, Hoof capsule m...

Practical Solutions for Equine Hoof Care. (HoofFlix Webinar) - If you didn't know who Dr Ogrady is, here's some background & key themes in his work This Thursday, Dr. Steve O’Grady dives into the everyday realities of equine hoof care - what works, what doesn’t, and what’s been misunderstood for far...

Biomechanical implications of full roller motion (self-adjusting palmar angle) shoes in equine palmar foot mechanics: theory, tendon and navicular orientation, and vectorial kinetics through stance phase. Author: Mark Caldwell PhD., FWCF., Niel Madden FWCF,. & Ronald Aalders * Scientific Horseshoein...

Helbert Barion CJF., San Paulo, Brazil & HoofFlix.CoM. Clips are one of the simplest but most powerful tools a farrier has to stabilise a shoe on the hoof. Used intelligently they protect the horn, reduce nail stress, control shoe migration and help manage break-over and mediolateral stability. Used...

Dr. Mark Caldwell PhD; FWCF. HoofFlix. CoM. following on from what was a most illuminating webinar with Dr. Sammy Pitman DVM we thought we’d try to summarise the benefits of Venography and the theoretical aspects of substantial heel elevation in the treatment of some laminitis cases. We wish to than...

James Hines BSc (Hons), Dip.WCF., Mark Caldwell PhD; FWCF¹. ¹Scientific Horseshoeing, 116, Newcastle Road, Talke, Staffordshire. ST71SA. UK. Phone: +44 (0) 7792374551 Email: info@hoofflix.com Key words; foal, neonatal, flexural deformity, developmental Abstract Introduction. Digital hyperextension c...

Dr. Mark N. Caldwell PhD., F.W.C.F. HoofFlix.CoM Many horse owners, riders, trainers or farriers have heard of sidebone—the ossification of the collateral (ungual) cartilages of the coffin bone. Often it is regarded as an incidental radiographic finding, something to note, but not something that tru...

Jaime Jackson was among the first to popularise observations of wild U.S. mustang feet in an arid, abrasive environment. He argued that natural movement over firm ground produced short toes, thick soles, and robust frogs, and that domestic horses might benefit if their living conditions and trims en...

THIS THURSDAY! Discover the secrets of wild horse hooves in the Great Basin! Join expert Jamie Jackson for vital insights on hoof care & management. Thursday, 11th September, 7 - 9pm GMT+1 Join us for a deep dive into the fascinating world of feral horses and their incredible hoof health with renown...

By Mark Caldwell PhD F.W.C.F Maintaining hoof balance is central to equine soundness and performance. For generations, farriers have relied on inherited traditions and widely accepted principles of hoof balance, but how robust are these methods when put under scientific scrutiny? Recent research has...

Introduction Hoof growth in horses is a dynamic process influenced by systemic metabolism, environmental conditions, and mechanical loading. Farriery has traditionally adhered to a six-week shoeing cycle, an interval widely accepted for maintaining hoof balance and preventing pathological distortion...

Laminitis remains one of the most devastating conditions in equine medicine, characterised by failure of the suspensory apparatus of the distal phalanx (SADP) and subsequent displacement of the distal phalanx (P3) within the hoof capsule. Among the most catastrophic presentations is “sinker” syndrom...

Mark N Caldwell., PhD., FWCFScientific Horseshoeing & HoofFlix. TVCorrespondence: info@hoofflix.com Word count (excluding references and abstract): ~5,200 Keywords:Equine laminitis; dorsal hoof wall resection; hoof capsule management; lamellar pathology; founder; farriery; biomechanics Abstract Dors...

Join us with Dr. Steve O’Grady on Thursday, 28th August (19:00-21:00 BST) as we explore practical solutions for caring for your horse's hooves! - HOOFFLIX - Online Event Join us for an informative online event with Dr. O'Grady as he shares practical solutions for equine hoof care. Learn from the exp...

“Rear Wheel Drive” with Dr. Tracy Turner (TICKETS HERE) This Thursday, 14th August, 2025. 19:00 - 21:00 BST (Online Event lasting 2 hours) Part of the HoofFlix.com “Myth Busters” collection Webinar Event Overview Join Dr. Tracy Turner in the second of his fascinating webinars for HoofFlix TV for a f...

Caldwell M.N., Madden N. HoofFlix.com (info@hoofflix.com) key words; The traditional theory of hoof expansion posits that during weight bearing—particularly mid-stance to terminal stance—the caudal hoof structures, including the quarters and heels, undergo lateral splaying or "expansion" to accommod...

Barefoot Trimming vs. Certified Farriery: Anatomy, Physiology & Biomechanical Philosophy Mark Caldwell PhD., FWCF 1. Introduction first and foremost this article is by no means a comprehensive analysis of all trimming styles advocated by numerous authors and organisations. Rather, it serves as a gen...

Radiographs and Foot Mapping Keep Your Horse’s Hooves Healthy Introduction Maintaining hoof balance is essential for equine soundness. Even superficial hoof issues can mask deeper imbalances within the hoof capsule. Radiographs—commonly X‑rays—provide a window into the bones and soft tissues beneath...

An Investigative Look at Dr. Ric Redden’s Approach to Chronic Laminitis By Mark Caldwell, PhD FWCF Prologue – The Case That Changed Everything Imagine a farriery clinic where veterinarians and farriers work side by side, reviewing radiographs and venograms in real time over Skype. That’s the world R...

Niedhart M., Stockley L., Madden N., James M. HoofFlix.Com 116, Newcastle Road, Talke. ST71SA. email info@hoofflix.com key words: Biomechanics, Anatomy, Kinetic Energy, Potential Energy, Transition, Movement, Gait, Confirmation, Posture, Fascia, Abstract The propulsion of the horse is primarily gene...

Two-Part EVA Clog System with Advanced Manufacturing Applications Author: Mark Caldwell PhD FWCF. Email: info@hoofflix.com Keywords: equine laminitis; biomechanics; EVA clog; adhesive farriery; 3D printing; P3 displacement; hoof rehabilitation Abstract Equine laminitis is a multifactorial, biomechan...

Hemodynamic Shock Absorption During the Stance Phase of Locomotion Caldwell. M. N., Madden. N., & Prout.A. HoofFlix.Com. Email info@hoofflix.com Introduction The equine foot exemplifies masterful biomechanical design, combining anatomical structures and fluid dynamics to absorb and dissipate enormou...

Caldwell M.N. & Nadden N. HoofFlix. Com., 116, Newcastle Road, Talke, Staffordshire. ST71SA email info@hoofflix.com Abstract Navicular syndrome represents a multifactorial pathology of the equine foot, most commonly affecting sport and leisure horses. Once considered a degenerative condition isolate...

How Arena Surfaces Affect Your Horse’s Movement, Health, and Shoeing Needs Mark N. Caldwell FWCF PhD – HoofFlix / ScientificHorseshoeing.co.uk Introduction Whether you're schooling a dressage test, working cattle, or jumping a course, the surface your horse moves on plays a vital role in how their b...

Biomechanical and Clinical Rationale for a Modular Therapeutic Clog System in the Management of Equine Laminitis Caldwell M, Madden N and Charnley N. 116, Newcastle Road, Talke, Staffordshire. ST71SA. email info@hoofflix.com Abstract Equine laminitis is a debilitating condition resulting from failur...

Biomechanical Rationale for Plantar Heel Extensions in the Management of Chronic Hindlimb Proximal Suspensory Desmopathy Caldwell M and Madden N. Scientific Horseshoeing Limited. 116, Newcastle Road, Talke, Staffordshire. ST71SA. Email info@hoofflix.com Introduction Chronic proximal suspensory ligam...

View Webinar Occlusion to the Hoof: Exploring the Link Between Equine Dental Abnormalities, Postural Compensation, and Hoof Capsule Morphology Stockley. L., Madden. N., Caldwell. M. Scientific Horseshoeing Limited, 116, Newcastle Road, Talke, Staffordshire. ST71SA. Email info@hoofflix.com Abstract E...

Chronic Proximal Suspensory Ligament Desmopathy in Horses: Biomechanics, Postural Adaptation, Hoof Capsule Morphology, and Treatment Strategies Caldwell M. N. Scientific Horseshoeing, 116, Newcastle Road, Talke, Staffordshire. ST7 1SA. Email info@hoofflix.com 1. Introduction Chronic desmopathy of th...

Join us with Dr. Steve O’Grady on Thursday, 8th May (19:00-21:00 BST) as we explore practical solutions for caring for your horse's hooves! - HOOFFLIX - Online Event Join us for an informative online event with Dr. as he shares practical solutions for equine hoof care. Learn from the expert about th...

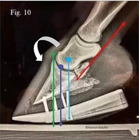
Introduction to Hoof Trimming Protocols in Laminitis Treatment Laminitis is a complex, multifactorial disease, and one of its most concerning consequences is the rotation of the coffin bone (P3) relative to the second phalanx (P2) due to laminar failure. Trimming protocols are widely debated among p...

🌟 Tired of the myths surrounding hoof care? 🌟 Join HoofFlix’s 2025 Myth Busters Webinar Series where we team up with world-class hoof care experts to bring you evidence-based insights, debunk common myths, and provide you with actionable knowledge to optimize your horse’s hoof health. If you’re re...

Recent posts on the subject of laminitis appear somewhat misleading and confusing. In this post we set out the lamanitic time line and basic farriery treatment protocols based on the current understanding of the disease process. Equine laminitis is a complex and severe condition affecting the hoof o...

A recent Post portraying a cadaver limb in a mechanical press and undergoing the loading cycle of the stance phase purported to illustrate differences in physiology of the hoof in differential hoof management scenario. Caution should be exercised when coming to conclusions as to value of such demons...

Continuing on from the from the debate on frig engagement: The frog plays a significant role in the equine hoof's biomechanics during the stance phase of locomotion. The latest research delves into its function, examining how it interacts with other hoof structures to support and distribute forces. ...

Let the Equigate app take care of all your business admin Tired of cancellations, muddy horses and chasing payments? We’re here to help. Equigate is a revolutionary app designed to […]